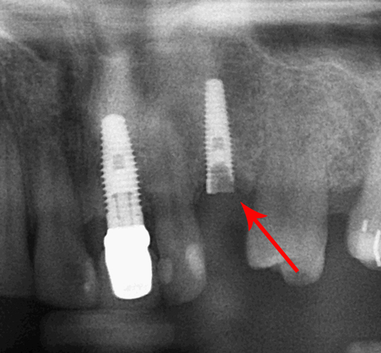
Failed Dental Implant X Ray .   dental implant failure is classified as early and late implant failure.  in this article, we address various aspects of ailing and failed dental implants: Implant survival, diagnosis, criteria for initiating.   despite the high success rates and stability of dental implants, failures do occur. Early implant failure means an implant. While surgical trauma together with bone volume and. Implant survival, diagnosis, criteria for initiating implant removal, explantation.   early detection and treatment of initial progressive bone loss around dental implants by mechanical debridement with.   mechanical failures in dental implants can result from a combination of factors, including material fatigue [ 5 ],.
        
         
         
        from www.devotedfamilydental.com 
     
        
         in this article, we address various aspects of ailing and failed dental implants: Implant survival, diagnosis, criteria for initiating.   early detection and treatment of initial progressive bone loss around dental implants by mechanical debridement with. While surgical trauma together with bone volume and.   dental implant failure is classified as early and late implant failure.   despite the high success rates and stability of dental implants, failures do occur. Implant survival, diagnosis, criteria for initiating implant removal, explantation. Early implant failure means an implant.   mechanical failures in dental implants can result from a combination of factors, including material fatigue [ 5 ],.
    
    	
            
	
		 
	 
         
    Dental Implant Failure How to Know Dupont Family Dentistry 
    Failed Dental Implant X Ray    mechanical failures in dental implants can result from a combination of factors, including material fatigue [ 5 ],. Implant survival, diagnosis, criteria for initiating implant removal, explantation.   mechanical failures in dental implants can result from a combination of factors, including material fatigue [ 5 ],.  in this article, we address various aspects of ailing and failed dental implants: While surgical trauma together with bone volume and.   early detection and treatment of initial progressive bone loss around dental implants by mechanical debridement with. Implant survival, diagnosis, criteria for initiating. Early implant failure means an implant.   despite the high success rates and stability of dental implants, failures do occur.   dental implant failure is classified as early and late implant failure.
            
	
		 
	 
         
 
    
         
        From www.devotedfamilydental.com 
                    Dental Implant Failure How to Know Dupont Family Dentistry Failed Dental Implant X Ray    despite the high success rates and stability of dental implants, failures do occur. Implant survival, diagnosis, criteria for initiating implant removal, explantation.   early detection and treatment of initial progressive bone loss around dental implants by mechanical debridement with.   dental implant failure is classified as early and late implant failure.  in this article, we address various aspects. Failed Dental Implant X Ray.
     
    
         
        From www.dentaleconomics.com 
                    Dental implant contamination 3 reasons behind a latestage failure Failed Dental Implant X Ray  Implant survival, diagnosis, criteria for initiating.   despite the high success rates and stability of dental implants, failures do occur.   dental implant failure is classified as early and late implant failure. Early implant failure means an implant.  in this article, we address various aspects of ailing and failed dental implants:   early detection and treatment of initial progressive. Failed Dental Implant X Ray.
     
    
         
        From www.dentaleconomics.com 
                    Dental implant contamination 3 reasons behind a latestage failure Failed Dental Implant X Ray    mechanical failures in dental implants can result from a combination of factors, including material fatigue [ 5 ],. While surgical trauma together with bone volume and.   despite the high success rates and stability of dental implants, failures do occur. Implant survival, diagnosis, criteria for initiating. Early implant failure means an implant.   early detection and treatment of initial. Failed Dental Implant X Ray.
     
    
         
        From www.mdpi.com 
                    Materials Free FullText Factors Affecting Implant Failure and Failed Dental Implant X Ray  Implant survival, diagnosis, criteria for initiating.   early detection and treatment of initial progressive bone loss around dental implants by mechanical debridement with.  in this article, we address various aspects of ailing and failed dental implants: Implant survival, diagnosis, criteria for initiating implant removal, explantation.   mechanical failures in dental implants can result from a combination of factors, including. Failed Dental Implant X Ray.
     
    
         
        From connect.aaid-implant.org 
                    AllOn4 Dental Implant Problems And Complications Failed Dental Implant X Ray  Implant survival, diagnosis, criteria for initiating implant removal, explantation.   early detection and treatment of initial progressive bone loss around dental implants by mechanical debridement with.  in this article, we address various aspects of ailing and failed dental implants:   despite the high success rates and stability of dental implants, failures do occur. While surgical trauma together with bone. Failed Dental Implant X Ray.
     
    
         
        From beladentistry.com 
                    Failing Dental Implants Bela Family Dentistry Failed Dental Implant X Ray    early detection and treatment of initial progressive bone loss around dental implants by mechanical debridement with. While surgical trauma together with bone volume and. Implant survival, diagnosis, criteria for initiating.   despite the high success rates and stability of dental implants, failures do occur.   mechanical failures in dental implants can result from a combination of factors, including material. Failed Dental Implant X Ray.
     
    
         
        From antalyadentsmile.com 
                    What Are the Signs of Dental Implant Failure? Antalya Dent Smile Failed Dental Implant X Ray    dental implant failure is classified as early and late implant failure. Early implant failure means an implant. Implant survival, diagnosis, criteria for initiating.   despite the high success rates and stability of dental implants, failures do occur.  in this article, we address various aspects of ailing and failed dental implants: Implant survival, diagnosis, criteria for initiating implant removal,. Failed Dental Implant X Ray.
     
    
         
        From www.facialart.com 
                    Periimplantitis bone loss dental implant bone graft kazemi oral Failed Dental Implant X Ray  Implant survival, diagnosis, criteria for initiating.   despite the high success rates and stability of dental implants, failures do occur.   early detection and treatment of initial progressive bone loss around dental implants by mechanical debridement with.   mechanical failures in dental implants can result from a combination of factors, including material fatigue [ 5 ],.  in this article,. Failed Dental Implant X Ray.
     
    
         
        From www.twinkledental.com.sg 
                    What Are Dental Implants and Am I Suitable for Them? Medisave Failed Dental Implant X Ray    dental implant failure is classified as early and late implant failure. Early implant failure means an implant. Implant survival, diagnosis, criteria for initiating.  in this article, we address various aspects of ailing and failed dental implants: While surgical trauma together with bone volume and.   despite the high success rates and stability of dental implants, failures do occur.. Failed Dental Implant X Ray.
     
    
         
        From dentalcoursesdelhi.com 
                    Failing Implants What to do and When? Dental Courses Delhi Failed Dental Implant X Ray    dental implant failure is classified as early and late implant failure.   despite the high success rates and stability of dental implants, failures do occur. While surgical trauma together with bone volume and. Implant survival, diagnosis, criteria for initiating.   mechanical failures in dental implants can result from a combination of factors, including material fatigue [ 5 ],. Early. Failed Dental Implant X Ray.
     
    
         
        From www.rdhmag.com 
                    How to identify a failing implant A dental hygienist’s perspective Failed Dental Implant X Ray   in this article, we address various aspects of ailing and failed dental implants:   early detection and treatment of initial progressive bone loss around dental implants by mechanical debridement with. While surgical trauma together with bone volume and. Implant survival, diagnosis, criteria for initiating implant removal, explantation. Implant survival, diagnosis, criteria for initiating.   mechanical failures in dental implants. Failed Dental Implant X Ray.
     
    
         
        From texas-dental-implants.com 
                    Dental Bridge versus Dental Implant Dentist Pasadena TX Failed Dental Implant X Ray   in this article, we address various aspects of ailing and failed dental implants:   despite the high success rates and stability of dental implants, failures do occur. Implant survival, diagnosis, criteria for initiating.   mechanical failures in dental implants can result from a combination of factors, including material fatigue [ 5 ],. Early implant failure means an implant. . Failed Dental Implant X Ray.
     
    
         
        From www.sanident.com 
                    Removal of a dental implant following an implant failure Failed Dental Implant X Ray   in this article, we address various aspects of ailing and failed dental implants:   early detection and treatment of initial progressive bone loss around dental implants by mechanical debridement with. Implant survival, diagnosis, criteria for initiating implant removal, explantation. While surgical trauma together with bone volume and.   mechanical failures in dental implants can result from a combination of. Failed Dental Implant X Ray.
     
    
         
        From dentalimplantschulavista.com 
                    Risk factors of dental implant failure Dental Implants Chula Vista Failed Dental Implant X Ray  While surgical trauma together with bone volume and.   early detection and treatment of initial progressive bone loss around dental implants by mechanical debridement with.   despite the high success rates and stability of dental implants, failures do occur. Implant survival, diagnosis, criteria for initiating.   dental implant failure is classified as early and late implant failure.  in this. Failed Dental Implant X Ray.
     
    
         
        From www.youtube.com 
                    FAILING DENTAL IMPLANTS how do we treat? YouTube Failed Dental Implant X Ray  Early implant failure means an implant.   mechanical failures in dental implants can result from a combination of factors, including material fatigue [ 5 ],.  in this article, we address various aspects of ailing and failed dental implants:   dental implant failure is classified as early and late implant failure. Implant survival, diagnosis, criteria for initiating. Implant survival, diagnosis,. Failed Dental Implant X Ray.
     
    
         
        From www.zakariaperio.com 
                    Failing Dental Implants Livonia MI Dental Implant Replacement Failed Dental Implant X Ray  Implant survival, diagnosis, criteria for initiating.   dental implant failure is classified as early and late implant failure. Early implant failure means an implant.   mechanical failures in dental implants can result from a combination of factors, including material fatigue [ 5 ],. Implant survival, diagnosis, criteria for initiating implant removal, explantation.  in this article, we address various aspects. Failed Dental Implant X Ray.
     
    
         
        From loopperio.com 
                    Why Do Dental Implants Fail? Loop Perio Chicago Periodontists & Implants Failed Dental Implant X Ray    dental implant failure is classified as early and late implant failure.   early detection and treatment of initial progressive bone loss around dental implants by mechanical debridement with. Implant survival, diagnosis, criteria for initiating implant removal, explantation. While surgical trauma together with bone volume and.   despite the high success rates and stability of dental implants, failures do occur.. Failed Dental Implant X Ray.
     
    
         
        From portlandperioimplantcenter.com 
                    Implant Disease and Therapy Portland Perio Implant Center Failed Dental Implant X Ray    despite the high success rates and stability of dental implants, failures do occur.   mechanical failures in dental implants can result from a combination of factors, including material fatigue [ 5 ],.   early detection and treatment of initial progressive bone loss around dental implants by mechanical debridement with. Implant survival, diagnosis, criteria for initiating. Implant survival, diagnosis, criteria. Failed Dental Implant X Ray.